同位素及正電子掃描部 ❯ 服務範疇 ❯ 放射核素治療
放射核素治療利用具有生理特性的分子標記,把放射核素經體內循環系統帶到目標組織,然後釋放高線性能量轉移輻射(例如α及β射線)近距離殺死病變細胞。由於分子標記對病理有獨特的針對性,因此輻射療效大多數發揮在病變組織中,從而減低對正常組織的影響。
擁有完善的臨床及放射藥物供應配套,本院是全港唯一為病人提供全面及一站式的癌症及其他代謝性疾病的診斷及放射核素治療服務。我們明白放射性藥物原料來源及使用安全對病人來說致為重要。為確保放射性藥物的可靠及安全,本院的質量控制實驗室會於藥物作臨床使用前由放射化學師進行一系列嚴格的品質檢定測試;在私家輻射隔離護室內,於核子醫學專科醫生、放射師及專屬護理人員照顧下接受治療能大大提升病人安全及舒適度。現時治療範疇包括治療神經內分泌腫瘤的鑥-177 DOTA結合肽及碘 131 MIBG、前列腺癌的鑥 177 PSMA及其骨轉移的鐳 223 Dichloride、甲狀腺功能亢進及癌射頻消融術的碘 131、肝癌的釔 90微球體及骨轉移緩解的氯化鍶 89。
甚麼是「療診合一」(Theranostics)?
「療診合一」(Theranostics) 是一個策略性癌症治療的創新概念。同位素及正電子/電腦掃描(尤其於腫瘤科的應用)是當今「療診合一」臨床及學術研究中的重要的一環。當中的「互動」是指利用放射核素標記藥物,透過特定生理目標(例如細胞表面受體或載體)作診斷掃描及治療。
過程首先利用多樣化診斷放射核素(如氟18、碳11、鎵68、鎝 99m及碘 123等)作斷層掃描(正電子/電腦雙融掃描及同位素單光子電腦斷層掃描) 來判斷癌症分期、追蹤擴散、模擬治療及預測效果;然後配合具相同生理特性的藥物及釋放治療輻射的放射核素(如碘 131、鑥 177、釔 90、鐳 223及鍶 89等),來達到集中治療功效,並追蹤體內分佈。這些應用實踐了現今於相同疾病中,對不同患者的個人化治療計劃。影像參數用作個人化治療計劃,當中包括評估治療可行性,預測成效及負作用及減少不必要的反覆檢查,以改善治後存活率及生活素質。
過程首先利用多樣化診斷放射核素(如氟18、碳11、鎵68、鎝 99m及碘 123等)作斷層掃描(正電子/電腦雙融掃描及同位素單光子電腦斷層掃描) 來判斷癌症分期、追蹤擴散、模擬治療及預測效果;然後配合具相同生理特性的藥物及釋放治療輻射的放射核素(如碘 131、鑥 177、釔 90、鐳 223及鍶 89等),來達到集中治療功效,並追蹤體內分佈。這些應用實踐了現今於相同疾病中,對不同患者的個人化治療計劃。影像參數用作個人化治療計劃,當中包括評估治療可行性,預測成效及負作用及減少不必要的反覆檢查,以改善治後存活率及生活素質。
常見的放射核素治療
鑥-177 PSMA前列腺癌放射核素治療
此治療是一種利用放射性配體(Radioligand)的放射核素治療,並對勢抗性轉移性前列腺癌 (Metastatic castration-resistant prostate cancer)尤其有效。
鑥-177 PSMA為一種能有效地破壞及殺死前列腺癌細胞的放射性藥物,並由兩部份所組成:
1. PSMA -能附在前列腺細胞膜面的蛋白質受體
2. 鑥-177 - 釋放β射線的放射核素,具有治療作用
此藥物能結合癌細胞表面的PSMA受體,當中鑥-177釋放的 β 射線為一種高度集中而且穿透距離很短的輻射,將大部份能量散發在癌細胞組織。當前列腺細胞發生病變時,不論是在原發的位置或是轉移的位置,PSMA蛋白質受體的數量會異常地增加。病變的前列腺細胞受到反覆的輻射照射後,結構會受到破壞進而凋零死亡。
療程通常為四至六個週期,每個週期相隔六至八週。接受此治療前,進行F-18 PSMA 及 F-18 FDG正電子/電腦掃描是必須的。核子醫學專科醫生會根據腫瘤及轉移病灶的追蹤劑攝取量及分佈 來評估治療的可行性及處方鑥-177 PSMA治療劑量。由於鑥-177 PSMA或會短暫地減低腎功能及影響新細胞生長, 接受治療後短暫時間內一般會較易感到疲倦。
此治療為晚期的前列腺癌患者提供多一個選擇, 不但能一站式治療轉移病灶,而且減低因骨骼轉移帶來的痛楚。

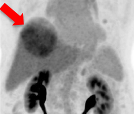
氟18 PSMA正電子/電腦雙融掃描顯示大部分病灶於鑥177 PSMA放射核素治療後可見改善(紅色箭頭所示)。
治療後掃描顯示病灶活躍度大大降低。

鑥177 PSMA放射性核素治療後前列腺特異性抗原(PSA)水平顯著降低。
鑥-177 PSMA為一種能有效地破壞及殺死前列腺癌細胞的放射性藥物,並由兩部份所組成:
1. PSMA -能附在前列腺細胞膜面的蛋白質受體
2. 鑥-177 - 釋放β射線的放射核素,具有治療作用
此藥物能結合癌細胞表面的PSMA受體,當中鑥-177釋放的 β 射線為一種高度集中而且穿透距離很短的輻射,將大部份能量散發在癌細胞組織。當前列腺細胞發生病變時,不論是在原發的位置或是轉移的位置,PSMA蛋白質受體的數量會異常地增加。病變的前列腺細胞受到反覆的輻射照射後,結構會受到破壞進而凋零死亡。
療程通常為四至六個週期,每個週期相隔六至八週。接受此治療前,進行F-18 PSMA 及 F-18 FDG正電子/電腦掃描是必須的。核子醫學專科醫生會根據腫瘤及轉移病灶的追蹤劑攝取量及分佈 來評估治療的可行性及處方鑥-177 PSMA治療劑量。由於鑥-177 PSMA或會短暫地減低腎功能及影響新細胞生長, 接受治療後短暫時間內一般會較易感到疲倦。
此治療為晚期的前列腺癌患者提供多一個選擇, 不但能一站式治療轉移病灶,而且減低因骨骼轉移帶來的痛楚。

氟18 PSMA正電子/電腦雙融掃描顯示大部分病灶於鑥177 PSMA放射核素治療後可見改善(紅色箭頭所示)。
治療後掃描顯示病灶活躍度大大降低。

鑥177 PSMA放射性核素治療後前列腺特異性抗原(PSA)水平顯著降低。
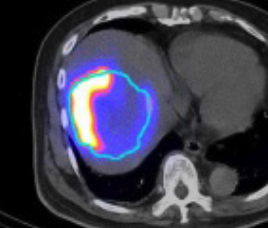
雙示踪劑正電子/電腦雙融掃描 (C-11 Acetate 及 F-18 FDG) 和 肝細胞癌 釔 90選擇性內部放射治療
- 治療前雙示踪劑正電子/電腦雙融掃描
- 識別代謝異質性因子
- 分類細胞分化
- 劃定輻射敏感性
- 肝臟腫瘤因代謝高、體積大而不適宜手術治療
- 甲胎蛋白水平是2269 ng/ml


C-11 Acetate F-18 FDG
- 治療前Tc MAA SPECT/ CT
- 預測腫瘤與非腫瘤釔90粒子分佈
- 識別分流至肺部及內臟
- 釔90選擇性內部放射治療
- 使用鍀99m MAA(左)模擬釔90粒子分佈(右)
- 評估治療可行性
- 由雙示踪劑正電子/電腦雙融掃描計算處方劑量
- 用正電子/電腦雙融掃描顯示釔90粒子分佈(右)


99mTc MAA SPECT/CT Y-90 PET/CT
- 治療後3個月正電子/電腦雙融掃描
- 肝臟腫瘤代謝活躍度和體積減少
- 甲胎蛋白水平減少至1206 ng/ml


C-11 Acetate F-18FDG
鑥-177 DOTA結合肽放射核素治療
神經內分泌細胞除了可傳導神經信息外, 還會分泌荷爾蒙。 此細胞廣泛分佈在身體各個器官內, 如甲狀腺, 肺, 腸胃及胰臟等。 當神經內分泌細胞發生病變時, 所產生的腫瘤便稱為神經內分泌腫瘤(Neuroendocrine tumor)。 神經內分泌腫瘤分為功能性和非功能性。 功能性腫瘤會分泌荷爾蒙及有明顯病徵, 非功能性腫瘤則不會分泌荷爾蒙及沒有明顯病徵。
此治療是一種利用肽受體的放射核素治療,主要用來治療神經內分泌腫瘤。
鑥-177 DOTA結合肽為一種能有效地破壞及殺死神經內分泌腫瘤細胞的放射性結合肽藥物,並由兩部份所組成:
1. DOTA結合肽 - 人工合成的生長抑素,能附在細胞膜面的蛋白質受體
2. 鑥-177 - 一種能釋放 β 射線的放射核素,具有治療作用
結合肽放射治療利用腫瘤細胞具有高密度的生長抑素受體特性, 將標籤了放射核素的生長抑素受體 (Somatostatin receptor, SSTR) 依附在腫瘤細胞表面,並直接向腫瘤及周邊組織釋放高度集中而且行走距離很短的輻射,並將大部份能量散發在周邊組織。病變的神經內分泌細胞受到反覆的輻射照射後,結構會受到破壞進而凋零死亡。此治療不但可抑制腫瘤生長,而且減輕與腫瘤相關的症狀,同時改善整體存活率。
療程通常為四至六個週期,每個週期相隔六至十五週。接受此治療前,進行Ga-68-DOTA結合肽 及F-18FDG正電子/電腦掃描是必須的。核子醫學專科醫生會根據腫瘤及轉移病灶的追蹤劑攝取量及分佈 來評估治療的可行性及處方鑥-177 DOTA治療劑量。
鑥-177 DOTA結合肽這種新療法為不可動手術˴ 轉移性神經內分泌腫瘤及對其他療法失效的患者提供多一個選擇。超過半數的患者接受了兩個週期或以上的治療後,病情都有所穩定下來。
