Department of Nuclear Medicine & Positron Emission Tomography ❯ Our Technology ❯ Biograph Vision - PET/CT Simulation for Radiotherapy Treatment Planning
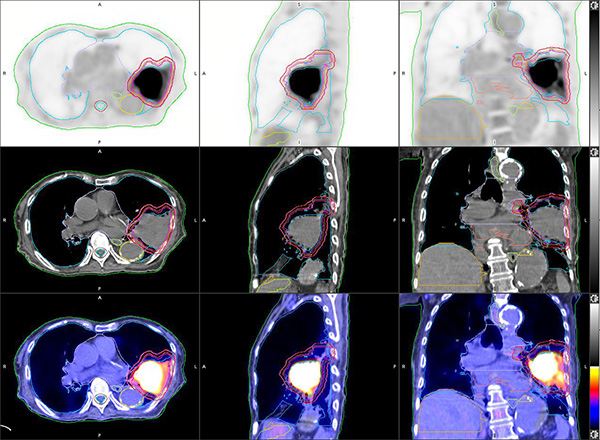
Developed in 2021 PET/CT Simulation is a one-stop imaging facility for both metabolic evaluation and CT simulation in radiotherapy treatment planning. The efficacy of radiotherapy relies on maximizing radiation dose to tumor and preserving normal tissues. With the variety of PET tracers available, PET/CT can delineate the metabolic boundary, quantify aggressiveness and characterize tissue functional status (e.g. cellular differentiation and hypoxia) of targeted tumor.
Our PET/CT scanner with SiPM technology, equipped with an external laser positioning system and a flat indexing pallet, has a precise spatial co-registration and an outstanding image quality. Image data in a single PET/CT scan can streamline the workflow and personalize treatment plan. Biological tumor contours and functional data on PET images can be transferred directly to CT images for dosimetric calculation and dose boosting. It can it be used at pre-treatment stage and within treatment course for interim assessment and adaptive planning.

